I-medsys - Innovative Medical Informatics.

Brazilian development has the support of FAPESP - São Paulo State Research Support Foundation.

Icon

Segmentation/Drawing Tool

Drawing tool and structure design for generation of drawings in organs at risk and tumor volumes in axial images of computed tomography. Our system integrates seamlessly with other market systems and is an excellent station integrated with the clinic/hospital operating procedure. It has a fusion function with MRI and PET / CT scans.

Icon

PACS RT (Radiotherapy)

Unwind your workstations with a local or cloud server that can securely store all your radiotherapy studies. With PACS RT it is also possible via the web to access read-only studies through a secure authentication system. PACS RT communicates seamlessly with market planning solutions.

Icon

Planning Tool

Dose calculation system capable of generating lead and also multileaf (MLC) block molds. It works with Game PC-based workstations and optimizes operating routine by integrating with other market solutions. It has a modern interface with all axial, coronal, sagittal and 3D planes for viewing structures and doses via DVH Histograms.

Icon

Workflow

System focused on the clinic management area/radiotherapy service with patient control, radiotherapy sessions, materials, people and various agendas. Important tool for the operation of your radiotherapy service.

Icon

2D Portal

X-ray bone structure verification system with tomographic DRRs. The tool allows the fusion of structures even analog/digital using a control point marking tool.

Icon

Double Check

Web checking system capable of analyzing in accordance with national and international standards the values ​​applied to doses of tumor fields and risk organs.

Brazilian company invited to present technology solution at United Nations

In February 2019, I-medsys was invited by the United Nations (UN) to present its radiotherapy (cancer) treatment solution to a team of experts in Vienna - Austria as an innovative solution. for developing countries.



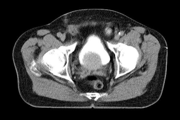
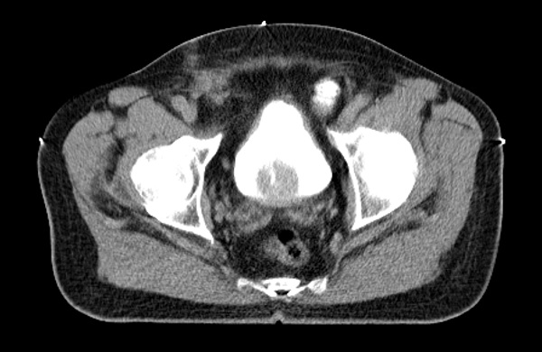
Radiotherapy Software

Radiotherapy planning software is responsible for generating contours for protection of risk organs and contours for tumor areas. To exemplify this process, below are the contours and radiations for you to interact with! Change the position of the slide (green circle) and check the outlines and rays (radiation) generated with SIPRAD for a radiotherapy treatment.

Generation of protective contours of risk organs and tumor areas.

Generation of radiation doses in body regions using 5 fields.

RTPS Radiotherapy Information System

Institutional Video of the SIPRAD Solution.